「もう、この歯は抜いてしまいましょう」と言われても、まだ諦めないでください
かかりつけの歯科医院にて「もう、この歯は抜いてしまいましょう。抜いて、入れ歯かインプラントにしましょう。」と言われた方が、自分の歯を残すために当院の歯周病治療を受診される方が多くいらっしゃいます。
当院の治療における、抜歯宣告からの治癒率は94%です。
当院での治療を検討中の方が、“本当に歯を抜かずに治すことができるかどうか?”については、“実際にお口の中を拝見して判断する無料カウンセリング”にて診断致しますので、お気軽にお問い合わせください。
以下のような、お悩みをお持ちでしょうか?
- 1. 歯周外科治療(歯ぐきを切って行う歯周病治療)を行ったが・・・、症状が良くならない。
- 2. 重度の歯周病(歯槽膿漏)で歯がグラグラしてきた。
- 3. 歯科医に「この歯は抜いた方が良い」と言われたが、抜きたくない。
- 4. 歯を抜いて、入れ歯やインプラントにすることに抵抗がある。
- 5. 歯を支える骨がない(骨が溶けている)と言われた。
- 6. 歯周病の専門医に診てもらった方が良いと言われた。
- 7. 歯ぐきが下がってきて、歯の根が露出してきた。(歯が長くなってきた)
- 8. 歯ぐきが下がってきたため、歯がしみることがある。
以上のお悩みを解決するのが歯周組織再生療法です。このような症状をお持ち方は、現在、次に説明するような状態にあります。
歯の構造と歯周病の進行について
なぜ歯が抜けてしまうのか? 歯を支える組織は4つあります
歯を支える支持組織(歯周組織)は、図のような構造になっています。専門的に説明しますと、
支持組織は
1. 歯槽骨
2. 歯根膜(歯周靭帯)
3. セメント質
4. 遊離歯肉(歯ぐき)
の4つから成ります。
重度まで歯周病が進行すると、4つの支持組織を失います
歯周病(歯槽膿漏)が進行すると、1歯槽骨、2歯根膜(歯周靭帯)が破壊され、徐々に無くなっていきます。これらが、無くなると歯を支えることができませんので歯が抜けてしまいます。そして、歯周病による破壊はセメント質までに及び、歯自体も攻撃し、もろくします。
また、4遊離歯肉(歯ぐき)は、図のように、1歯槽骨、2歯根膜(歯周靭帯)が破壊されるのと並行して、喪失していきます。
-
軽度の歯周病。
歯垢(しこう)が歯ぐきの裏にある根っこに溜まっています。
1歯根膜、2(歯槽)骨の破壊が始まります。
-
中度の歯周病。
歯がグラグラし始めます。
歯を支える2(歯槽)骨が約半分になっています。
4遊離歯肉(歯ぐき)も、骨の喪失とともに失っていきます。
-
重度の歯周病。
破壊がセメント質にも及びます。また、4遊離歯肉(歯ぐき)の喪失も著しく、歯の根がかなり露出しています。
また、歯を支える(歯槽)骨がほとんどありません。
画像提供:GC
重度まで歯周病が進行した人の治療方法は?
| 治療方法 | A歯科 | B歯科 | C歯科 | さぶり歯科 | ||
|---|---|---|---|---|---|---|
| 治療方針1 歯を抜く | ||||||
| ブリッジ | ◯ | ◯ | ◯ | ◯ | ||
| 入れ歯 | ◯ | ◯ | ◯ | ◯ | ||
| インプラント | × | ◯ | ◯ | ◯ | ||
| 治療方針2 歯を抜かない | ||||||
| 歯周組織 再生治療 |
歯槽骨、歯根膜 (歯周靭帯)の再生 |
1. 成長因子系治療 ・エムドゲインゲル(EMD) ・GEM21 |
× | × | ◯ | ◯ |
| 2. メンブレン(特殊な膜)を用いた治療 ・組織再生誘導法(GTR) |
× | × | × | ◯ | ||
| 遊離歯肉(歯ぐき)の再生 | 3. 移植による治療 ・遊離歯肉移植術(FGG) ・結合組織移植術(CTG) |
× | × | × | ◯ | |
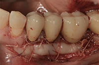
エムドゲインゲル(EMD)+骨移植の流れ
当院では、エムドゲインゲルと骨移植を併用することで、歯周病により失った支持組織(1歯槽骨、2歯根膜(歯周靭帯)、3セメント質)を再生します。
-
歯肉(歯ぐき)を切開し、歯ぐきの裏に付着している汚染された歯周組織を、まず、取り除きます。
-
骨を失った部分に、エムドゲインゲル(エナメル基質タンパク質)を塗布し、更に、骨移植を行います。
*白い点々が骨補填剤です。骨移植を行うことで失った骨を造成します。
-
切開した歯肉を縫合します。
組織再生誘導法(GTR)の流れ
組織再生誘導法(GTR)は、特殊な膜(メンブレン)を歯肉の中に設置することで歯槽骨、歯根膜(歯周靭帯)の再生する方法です。歯周病によって失われた支持組織は、破壊を行った原因を除去すると元の状態へ再生しようとする作用があります。
しかし、歯周組織が再生していくためのスペースがないと再生できません。
-
膜がない場合
支持組織を破壊した原因を除去後、再生を邪魔してしまう
-
膜がある場合
支持組織を破壊した原因を除去後、歯槽骨、歯根膜(歯周靭帯)の再生が始まる
遊離歯肉移植術(FGG)の流れ
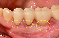
遊離歯肉移植術(FGG)とは、歯肉退縮(歯ぐきが下がっている状態)を再生する治療です。歯ぐきを失ってしまった部分に、上顎の歯ぐきを剥離し、移植します。
-
治療前の状態です。
歯ぐきが退縮し(歯ぐきが下がり)、歯の根が露出しています。 -
歯肉(歯ぐき)を移植します。
-
歯の根が露出して部分の歯ぐきが再生。
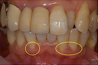
結合組織移植術(CTG)の流れ
-
治療前の状態です。
歯ぐきが退縮し(歯ぐきが下がり)、歯の根が露出しています。 -
歯ぐきが退縮している部分に、結合組織を移植します。
*遊離歯肉移植術(FGG)では歯ぐきを移 植しますが、結合組織移植術(CTG)は結 合組織を移植します。
-
歯の根が露出して部分の歯ぐきが再生。
よくある質問
-
Q. 歯周組織再生療法は、健康保険が効きますか?
健康保険が効きません。また、治療費は口腔内の状態によって異なってきます。
*ご自身が治療をした場合、治療費がいくらになるのか?を確認されたいと思います。当院では、歯周組織再 生療法を検討中の方を対象に無料カウンセリングを行っており、お見積り致しております。
-
Q. 費用の目安を教えてもらえますでしょうか?
エムドゲインゲル(EMD) 1歯 ¥100,000
組織再生誘導法(GTR) 1歯 ¥100,000
遊離歯肉移植術(FGG) 1歯 ¥70,000
結合組織移植術(CTG) 1歯 ¥70,000*ご自身が治療をした場合、治療費がいくらになるのか?を確認されたいと思います。当院では、歯周組織再生療法を検討中の方を対象に無料カウンセリングを行っており、お見積り致しております。
-
Q. 痛みが心配なのですが・・・?
オプションで静脈内鎮静法(麻酔の一種)を行うことも可能です。静脈内鎮静法を用いれば、痛みを感じることは ありませんのでご安心ください。
歯周組織再生療法に関する無料カウンセリング
以下のような悩みをお持ちの方は、まずは、“無料カウンセリング”を受診してください。
●通っている歯科医院で「この歯は、ダメなので抜きましょう」と言われた方
●入れ歯やインプラントは嫌だという方
●今後、1 本でも多く自分の歯を残したいと思われている方
●治療に興味があるが・・・、治療期間や費用が気になって決断できな方
上記のようなお悩みをお持ちの方、歯周組織再生療法に興味がある方を対象に“無料カウンセリング”を行っています。
専門医が貴方のお口中を拝見し、現状と今後の治療方針について丁寧にご説明致します。
また、治療をするしないに関わらず受診が可能です。
治療を開始する義務はありませんのでご安心して受診ください。
当院は、完全予約制となっています。
予約は、電話、または、メールでお受けすることが可能です。
お電話でのご予約は、0120-517-775 まで。
*予約の際は、“歯周組織再生療法の無料カウンセリング”と必ずお伝え下さい。
メールでのご予約は、以下をクリック。





















